🩻 Gastric outlet obstruction (GOO)


Patient Age

34

Symptoms

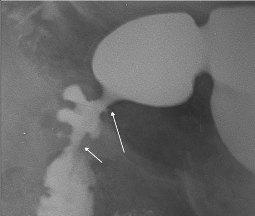
67/Male with symptoms of Gastric outlet obstruction (GOO) distension of stomach, vigurous peristalsis, hold up with stricture of D1- proximal D2

Case Description

67/Male with symptoms of Gastric outlet obstruction (GOO) distension of stomach, vigurous peristalsis, hold up with stricture of D1- proximal D2

Case Images
67/Male with symptoms of Gastric outlet obstruction (GOO) distension of stomach, vigurous peristalsis, hold up with stricture of D1- proximal D2

67/Male with symptoms of Gastric outlet obstruction (GOO) distension of stomach, vigurous peristalsis, hold up with stricture of D1- proximal D2

Radiological signs of a deformed duodenal bulb, often caused by chronic scarring from peptic ulcer disease, include a "cloverleaf" appearance (due to multiple pseudodiverticula and spasm), persistent irregularity, and base line tenting. Other signs include ulcer craters, narrowing, and, in severe cases, strictures or "pseudodiverticulum" formation. 

Radiological signs of a deformed duodenal bulb, often caused by chronic scarring from peptic ulcer disease, include a "cloverleaf" appearance (due to multiple pseudodiverticula and spasm), persistent irregularity, and base line tenting. Other signs include ulcer craters, narrowing, and, in severe cases, strictures or "pseudodiverticulum" formation.